Mitocondrias. Estructura. Respiración celular: ciclo de Krebs, cadena respiratoria y fosforilación oxidativa. ATP
1. Explica la estructura de la mitocondria.
La mitocondria es un orgánulo capaz de realizar la mayoría de las oxidaciones de las biomoléculas reducidas y de alto valor energético para producir una gran cantidad de energía química en forma de ATP.
ESTRUCTURA:
1. Membrana mitocondrial externa: presenta una bicapa lipídica permeable que separa el interior mitocondrial con el citosol, contiene un 40% de lípidos y un 60% de proteínas. Es permeable; presenta proteínas integrales llamadas porinas que forman canales de transporte de solutos poco selectivo.
2. Membrana mitocondrial interna: forma las crestas mitocondriales, repliegues de la membrana dispuestos transversalmente al eje de la mitocondria y dirigidas hacia la matriz mitocondrial. Presenta un 20% de lípidos y un 80% de proteínas, entre ellas destacan los transportadores de electrones, enzimas de fosforilación oxidativa, enzimas de la beta_oxidación de los ácidos grasos y la ATP sintetasa. Poco permeable al paso de iones lo que permite la acumulación de protones en el espacio intermembranal.
3. Partículas elementales F: se sitúan en la cara externa de las crestas, orientadas hacia la matriz; son complejos de ATP sintetasa formados por una cabeza esférica o complejo F1, un pedúnculo o componente F0 y una base hidrófoba inserta en la bicapa lipídica.
4. Cámara interna o matriz mitocondrial: contiene una alta concentración de proteínas. Además contiene el ADN mitocondrial, moléculas de ARN mitocondrial, enzimas de replicación, transcripción y traducción, enzimas implicadas en el ciclo de Krebs y en beta-oxidación de los ácidos grasos y contiene cantidades apreciables de iones de Ca y K.
5.Cámara externa: Espacio intermembranal que acumula gran cantidad de protones que permitirán fabricar ATP durante la fosforilación oxidativa al liberar hacia la matriz protones a favor de un gradiente electroquímico.
Las mitocondrias están distribuidas uniformemente por el citoplasma y a su conjunto se le llama condrioma celular. Hay que tener en cuenta que su forma, estructura y cantidad depende del estado funcional de la célula.
Las mitocondrias están distribuidas uniformemente por el citoplasma y a su conjunto se le llama condrioma celular. Hay que tener en cuenta que su forma, estructura y cantidad depende del estado funcional de la célula.
3. ¿Cuál es el origen evolutivo de las mitocondrias?
El origen evolutivo de las mitocondrias fue llevado a cabo a partir de relaciones de simbiosis entre una célula depredadora ancestral (urcariota) y bacterias heterótrofas aerobias que fueron ingeridas por las primeras por fagocitosis. Esta teoría explica el hecho de que tanto las mitocondrias como los cloroplastos tengan una doble membrana, además de un genoma propio, capaz de sintetizar algunas de sus proteínas.
Puede dividirse de forma independiente de la célula y fabrica sus propias biomoléculas, en especial, un grupo muy importante de proteínas. Esta simbiosis especial es la base de la teoría endosimbiótica que definió Lynn Margulis para explicar el origen de las células eucariotas( hace unos 2000 millones de años).
Puede dividirse de forma independiente de la célula y fabrica sus propias biomoléculas, en especial, un grupo muy importante de proteínas. Esta simbiosis especial es la base de la teoría endosimbiótica que definió Lynn Margulis para explicar el origen de las células eucariotas( hace unos 2000 millones de años).
4. ¿Por qué la membrana mitocondrial interna tiene un contenido proteico superior al de otras membranas?. Razona la respuesta.
El hecho de que la membrana mitocondrial interna tenga una proporción del 80% de proteínas y un 20% tan sólo de lípidos, es porque en su estructura se encuentran complejos enzimáticos encargados de realizar estas funciones:
- Cadena respiratoria: encargada de transportar electrones desde los NADH y FADH2 obtenidos en el ciclo de Krebs y otras etapas y que finalmente serán cedidos al O2 para formar agua. Los transportadores se agrupan en tres complejos: La NADH-deshidrogenasa, el complejo enzimático formado por los citocromos c y b1 , y el complejo citocromo-oxidasa.
-Fosforilación oxidativa: se realiza en las partículas elementales F1 de las crestas mitocondriales
en las que se encuentran la ATPsintetasa que permite fosforilar el ADP y transformarlo en ATP.
- Cadena respiratoria: encargada de transportar electrones desde los NADH y FADH2 obtenidos en el ciclo de Krebs y otras etapas y que finalmente serán cedidos al O2 para formar agua. Los transportadores se agrupan en tres complejos: La NADH-deshidrogenasa, el complejo enzimático formado por los citocromos c y b1 , y el complejo citocromo-oxidasa.
-Fosforilación oxidativa: se realiza en las partículas elementales F1 de las crestas mitocondriales
en las que se encuentran la ATPsintetasa que permite fosforilar el ADP y transformarlo en ATP.
5. La mitocondria se llama con frecuencia "central energética" de las células eucariotas. Razona por qué es apropiado este término e indica los procesos que se producen.
Se llama central energética, porque en la mitocondria se produce la mayor parte de las oxidaciones totales de sustratos altamente reducidos y de alto contenido energético (energía química de enlace). La energía de dichos enlaces será liberada durante reacciones de oxido-reducción para formar compuestos reducidos del tipo de NADH y FADH2.. Estos compuestos permitirán posteriormente formar ATP en grandes cantidades por medio de la fosforilación oxidativa.
La energía obtenida será posteriormente utilizada en los procesos anabólicos para crear materia orgánica a partir de compuestos simples como el dióxido de carbono y el agua.
Los procesos que se llevan a cabo en la mitocondria son:
- ciclo de Krebs
- cadena respiratoria
- fosforilación oxidativa
-beta-oxidación de los ácidos grasos
-acumulación de protones en el espacio intermembranal que permitirá a la APT sintetasa fabricar ATP.
Se llama central energética, porque en la mitocondria se produce la mayor parte de las oxidaciones totales de sustratos altamente reducidos y de alto contenido energético (energía química de enlace). La energía de dichos enlaces será liberada durante reacciones de oxido-reducción para formar compuestos reducidos del tipo de NADH y FADH2.. Estos compuestos permitirán posteriormente formar ATP en grandes cantidades por medio de la fosforilación oxidativa.
La energía obtenida será posteriormente utilizada en los procesos anabólicos para crear materia orgánica a partir de compuestos simples como el dióxido de carbono y el agua.
Los procesos que se llevan a cabo en la mitocondria son:
- ciclo de Krebs
- cadena respiratoria
- fosforilación oxidativa
-beta-oxidación de los ácidos grasos
-acumulación de protones en el espacio intermembranal que permitirá a la APT sintetasa fabricar ATP.
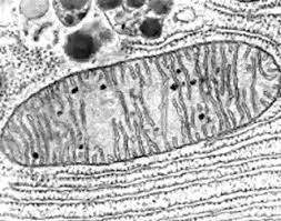
6. Identifica el orgánulo de las fotografías. Haz un esquema de este orgánulo e indica la estructura.
7. Cita las funciones asociadas a la mitocondria y localízalas en su estructura.
Funciones de la mitocondria:
- Ciclo de Krebs, tiene lugar en la matriz mitocondrial.
- Cadena respiratoria, se localiza en las crestas de la membrana mitocondrial interna.
- Fosforilación oxidativa, se lleva a cabo en las partículas elementales F1 - Fo situadas en la cara interna de las crestas mitocondriales.
- La B-Oxidación de los ácidos grasos, se realiza en la matriz mitocondrial.
- Concentración de protones en el espacio intermembranal.
- Replicación del ADN mitocondrial. En la matriz mitocondrial.
- Biosíntesis de las proteínas mitocondriales. En la matriz mitocondrial.
- Replicación del ADN mitocondrial. En la matriz mitocondrial.
- Biosíntesis de las proteínas mitocondriales. En la matriz mitocondrial.
9. Compara la fosforilación oxidativa con la fosforilación fotosintètica.
En el proceso de la fosforilación oxidativa en la cadena respiratoria situada en las crestas de la membrana mitocondrial, los electrones del NADH + H+ y el FADH2 procedentes de la oxidación de procesos como la glicólisis, formación del acetil-CoA y ciclo de Krebs, son cedidos a enzimas transportadores de H y electrones, desde moléculas de alto valor energético (poder reductor muy negativo) a otras progresivamente de poder reductor cada vez más positivo (cadena transportadora de electrones) hasta cederlos finalmente al oxígeno para formar agua.
Durante el transporte de los electrones se libera energía que es utilizada para bombear protones a través de la membrana mitocondrial interna al espacio intermembranal en contra de un gradiente electroquímico. Este hecho genera un gradiente de protones a través de la membrana que es aprovechado por la ATP-sintetasa para bombear de nuevo los protones hacia la matriz mitocondrial, a favor del gradiente y liberando energía metabólica y fabricar ATP a partir de ADP y fosfato.
La fotofosforilación consiste en transformar la energía luminosa en energía química de enlace en moléculas de ATP. Tiene lugar durante la fase luminosa de la fotosíntesis, por tanto, en presencia de luz solar, y se lleva a cabo en las membranas tilacoidales de los cloroplastos.
En este proceso la luz excita los electrones de la clorofila del centro de reacción, aumentando enormemente su nivel de energía, lo que favorece que sean recogidos por un aceptor y transportados por la cadena de transporte electrónico siendo recogidos en última instancia por moléculas oxidadas de menor nivel de energía y menor poder reductor, como es el NADP2+ que se transformará en NADPH +H+.
La energía liberada durante el transporte se utiliza para bombear protones al espacio intratilacoidal y generar un gradiente electroquímico de protones, que, al igual que ocurre en las mitocondrias, forma moléculas ATP.
- Glicólisis: a partir de una molécula de glucosa en ausencia de oxígeno y dos moléculas de ADP y de P y otras dos de NAD oxidado se obtienen dos moléculas de ácido pirúvico, dos moléculas de ATP y otras de NADH +H+
- Oxidación del ácido pirúvico a acetil-CoA: Por cada molécula de ácido pirúvico se utiliza una molécula de CoA y otra de NAD oxidado y se obtiene una molécula de acetil-CoA, otra de dióxido de carbono y un NADH +H+
- Ciclo de Krebs: Por cada molécula de acetil-CoA que se oxida totalmente a CO2, se obtienen una molécula de CoA, tres moléculas de NADH +H+, otra de FADH2 y una molécula de ATP.
- Cadena de transporte de electrones y fosforilación oxidativa: Por cada molécula de NAD reducido se obtienen tres moléculas de ATP (excepto los NAD reducidos del citosol que sólo forman dos moléculas de ATP) y por cada molécula de FAD reducido se obtienen dos moléculas de ATP.
Los electrones transportados por la cadena respiratoria son aceptados por seis moléculas de oxígeno formando seis moléculas de agua.
17. ¿Cuál es el objetivo principal del ciclo de Krebs y cuál es su localización intracelular?
18. ¿De dónde procede el acetil-CoA con el que se inicia el ciclo de Krebs?
El Acetil-CoA es un metabolito intermedio que se forma cuando el acido pirúvico de 3 átomos de C (producto final de la Glucólisis) entra al espacio intermembranoso de las mitocondrias, es decir, la cámara externa comprendida entre las dos membranas biológicas. Gracias a la acción de un primer Complejo Multienzimático, la pirúvico descarboxilasa "Descarboxila"(quita una molécula de CO2 del Ácido Pirúvico) reduciendo al ácido pirúvico en grupos o radicales acetilos de 2 átomos de C. Posteriormente se une a estos radicales acetilos la CoA formando Acetil-CoA.
La reducción del ácido pirúvico en Radicales Acetilos que posteriormente se combinan con la CoA formando Acetil-CoA se realiza en la "Cámara externa de las mitocondrias o espacio intermembranoso"
Al ingresar en la matríz mitocondrial (Ciclo de Krebs) la Acetil-CoA se combina con el Ácido Oxalacético de 4 átomos de C formando Ácido Cítrico de 6 átomos de C.
La reducción del ácido pirúvico en Acetil-CoA es el "Eslabón común que une Glucólisis con el Ciclo de Krebs".
El acetil-CoA es el metabolito de conexión de todas las rutas catabólicas: oxidación de glúcidos, lípidos y proteínas:

19. En el siguiente esquema se representan algunas vías metabólicas de la glucosa:
21. ¿Qué orgánulo aparece en la fotografía?. Realiza un dibujo basado en él e indica sus componentes estructurales y moleculares.
La fotofosforilación consiste en transformar la energía luminosa en energía química de enlace en moléculas de ATP. Tiene lugar durante la fase luminosa de la fotosíntesis, por tanto, en presencia de luz solar, y se lleva a cabo en las membranas tilacoidales de los cloroplastos.
En este proceso la luz excita los electrones de la clorofila del centro de reacción, aumentando enormemente su nivel de energía, lo que favorece que sean recogidos por un aceptor y transportados por la cadena de transporte electrónico siendo recogidos en última instancia por moléculas oxidadas de menor nivel de energía y menor poder reductor, como es el NADP2+ que se transformará en NADPH +H+.
La energía liberada durante el transporte se utiliza para bombear protones al espacio intratilacoidal y generar un gradiente electroquímico de protones, que, al igual que ocurre en las mitocondrias, forma moléculas ATP.
10. Concepto de anabolismo y catabolismo. Poned un ejemplo de un proceso anabólico y otro de catabólico.
Catabolismo: es el metabolismo de degradación oxidativa de moléculas muy reducidas y cargadas de energía, las cuales al romper sus enlaces liberan energía (reacciones exergónicas) y permiten formar ATP y compuestos inorgánicos sencillos.
Ejemplo: catabolismo de la glucosa (glicólisis, oxidación del pirúvico, ciclo de Krebs, cadena respiratoria y fosforilación oxidativa).
Anabolismo: es el metabolismo de síntesis de compuestos orgánicos complejos que requieren energía suministrada por el ATP obtenido en los procesos catabólicos (anabolismo heterótrofo) o la fuente primaria de energía (solar, reacciones redox), del medio (anabolismo autótrofo).
Ejemplo: Gluconeogénesis, biosíntesis de proteinas, síntesis de ácidos grasos.
Catabolismo: es el metabolismo de degradación oxidativa de moléculas muy reducidas y cargadas de energía, las cuales al romper sus enlaces liberan energía (reacciones exergónicas) y permiten formar ATP y compuestos inorgánicos sencillos.
Ejemplo: catabolismo de la glucosa (glicólisis, oxidación del pirúvico, ciclo de Krebs, cadena respiratoria y fosforilación oxidativa).
Anabolismo: es el metabolismo de síntesis de compuestos orgánicos complejos que requieren energía suministrada por el ATP obtenido en los procesos catabólicos (anabolismo heterótrofo) o la fuente primaria de energía (solar, reacciones redox), del medio (anabolismo autótrofo).
Ejemplo: Gluconeogénesis, biosíntesis de proteinas, síntesis de ácidos grasos.
11. Compara el metabolismo autótrofo y el metabolismo heterótrofo.
Metabolismo autótrofo: Se consideran organismos autótrofos aquellos que son capaces de sintetizar moléculas orgánicas a partir de la energía de los fotones de la radiación luminosa (fotoautótrofos) o de la energía de enlace contenida en las moléculas inorgánicas (quimiautótrofos) a partir de compuestos inorgánicos simples como CO2, agua y sales minerales..
Metabolismo heterótrofo: Los organismos heterótrofos son aquellos que obtienen la energía de la rotura de enlaces de las moléculas orgánicas, que constituyen su alimento, las cuales son transformadas en productos inorgánicos u orgánicos más sencillos.
El metabolismo es el conjunto de reacciones químicas que se produce en el interior de las células y que conduce a la transformación de unas biomoléculas en otras. Todas las reacciones metabólicas están reguladas por enzimas específicos.
Metabolismo autótrofo: Se consideran organismos autótrofos aquellos que son capaces de sintetizar moléculas orgánicas a partir de la energía de los fotones de la radiación luminosa (fotoautótrofos) o de la energía de enlace contenida en las moléculas inorgánicas (quimiautótrofos) a partir de compuestos inorgánicos simples como CO2, agua y sales minerales..
Metabolismo heterótrofo: Los organismos heterótrofos son aquellos que obtienen la energía de la rotura de enlaces de las moléculas orgánicas, que constituyen su alimento, las cuales son transformadas en productos inorgánicos u orgánicos más sencillos.
El metabolismo es el conjunto de reacciones químicas que se produce en el interior de las células y que conduce a la transformación de unas biomoléculas en otras. Todas las reacciones metabólicas están reguladas por enzimas específicos.
12. Explica la fosforilación oxidativa y la cadena de transporte de electrones (cadena respiratoria).
La cadena de transporte de electrones se encuentra en las crestas de la membrana mitocondrial interna y se encarga de transportar los electrones procedentes del NADH +H+ y del FADH2 hasta el último aceptor de los electrones que es el oxígeno, que se reduce para formar agua.
Este proceso se inicia cuando los metabolitos reducidos son oxidados en las rutas catabólicas y sus electrones son aceptados por el NAD y FAD oxidados que se reducen a NADH +H+ y FADH2.
Estas moléculas contienen electrones con un potencial reductor muy negativo y con un alto nivel energético.
La cadena de electrones la forman aceptores de electrones con poder reductor muy negativo, las cuales se oxidan a otras progresivamente de poder reductor más positivo que se reducen. Para aceptar nuevos electrones es necesario que antes sean cedidos a otras moléculas, por eso, cada pareja de transportadores (par rédox) sólo puede aceptar electrones de otra pareja rédox de poder reductor más negativo.
Los electrones procedentes del NADH, que se oxida, entran en la cadena y son transferidos al FMN, el cual se reduce. El FMN cede los electrones a la CoQ. La CoQ los cede al complejo de citocromos b-c1.; éstos los ceden al complejo citocromo oxidasa a3-a1. Este proceso de transporte descendente termina cuando los electrones son cedidos al oxígeno, que al aceptarlos forma agua.
La fosforilación oxidativa es un proceso quimiosmótico. Cuando los electrones se transfieren de un dador a otro receptor, se libera energía que es aprovechada para bombear protones desde la matriz al espacio intermembranal, generando un elevado gradiente electroquímico.
El gradiente de protones se utiliza para fabricar ATP a partir de ADP y P gracias a la bomba de protones ATP-sintetasa, situada en las partículas elementales de las crestas mitocondriales, la cual bombea los protones desde el espacio intermembranal a la matriz mitocondrial a favor de un gradiente, con la consiguiente liberación de energia que permite fosforilar el ADP a ATP. A este proceso se le conoce como fosforilación oxidativa. Por cada dos electrones que son transportados desde el NADH +H+ hasta el oxígeno se fabrican dos moléculas de ATP. Por cada dos electrones procedentes del FADH2 hasta el oxígeno se fabrican dos moléculas de ATP.
Este proceso se inicia cuando los metabolitos reducidos son oxidados en las rutas catabólicas y sus electrones son aceptados por el NAD y FAD oxidados que se reducen a NADH +H+ y FADH2.
Estas moléculas contienen electrones con un potencial reductor muy negativo y con un alto nivel energético.
La cadena de electrones la forman aceptores de electrones con poder reductor muy negativo, las cuales se oxidan a otras progresivamente de poder reductor más positivo que se reducen. Para aceptar nuevos electrones es necesario que antes sean cedidos a otras moléculas, por eso, cada pareja de transportadores (par rédox) sólo puede aceptar electrones de otra pareja rédox de poder reductor más negativo.
Los electrones procedentes del NADH, que se oxida, entran en la cadena y son transferidos al FMN, el cual se reduce. El FMN cede los electrones a la CoQ. La CoQ los cede al complejo de citocromos b-c1.; éstos los ceden al complejo citocromo oxidasa a3-a1. Este proceso de transporte descendente termina cuando los electrones son cedidos al oxígeno, que al aceptarlos forma agua.
La fosforilación oxidativa es un proceso quimiosmótico. Cuando los electrones se transfieren de un dador a otro receptor, se libera energía que es aprovechada para bombear protones desde la matriz al espacio intermembranal, generando un elevado gradiente electroquímico.
El gradiente de protones se utiliza para fabricar ATP a partir de ADP y P gracias a la bomba de protones ATP-sintetasa, situada en las partículas elementales de las crestas mitocondriales, la cual bombea los protones desde el espacio intermembranal a la matriz mitocondrial a favor de un gradiente, con la consiguiente liberación de energia que permite fosforilar el ADP a ATP. A este proceso se le conoce como fosforilación oxidativa. Por cada dos electrones que son transportados desde el NADH +H+ hasta el oxígeno se fabrican dos moléculas de ATP. Por cada dos electrones procedentes del FADH2 hasta el oxígeno se fabrican dos moléculas de ATP.
13. Define organismo aerobio y organismo anaerobio y pon un ejemplo de cada uno.
Según cual sea el último aceptor de los hidrógenos (electrones) del NADH procedentes del sustrato oxidado y de la energía metabólica en forma de ATP que se forme durante el proceso de oxidación del sustrato y del lugar donde se lleven a cabo los procesos se tienen dos tipos de organismos:
- Aerobios: cuando el oxígeno molecular es el último aceptor formando agua. Este proceso libera una gran cantidad de energía (38 moléculas de ATP por molécula de glucosa) y se realiza en sus etapas finales en el interior de la mitocondria en presencia de oxígeno en un proceso que comprende varias etapas: Glicólisis (citosol), ciclo de Krebs (matriz mitocondrial), cadena transportadora de electrones y fosforilación oxidativa (en la membrana mitocondrial interna y partículas fundamentales).
Los productos finales de este proceso son el dióxido de carbono y agua.
La mayor parte de los seres vivos son aerobios entre ellos los animales y las plantas.
- Anaerobios: Cuando es una molécula orgánica todavía reducida la que finalmente acepta los electrones del NADH. Se producen tan solo dos moléculas de ATP por molécula de glucosa además de moléculas todavía reducidas con alto nivel energético como el etanol (fermentación alcohólica) y el ácido láctico (fermentación láctica).
El proceso se lleva a cabo en condiciones anaerobias (sin oxígeno) y se realiza en el citosol. Ejemplos de organismos anaerobios: bacterias como el Sacharomyces, Lactobacillus, Streptococus, levaduras, etc.
Existen organismos anaerobios facultativos, capaces de producir ambos tipos de procesos catabólicos dependiendo de las condiciones ambientales. En presencia de oxígeno se completa la respiración aerobia dando lugar a CO2, H2O y 38 moléculas de ATP. Si las condiciones ambientales son de falta de oxígeno (músculo en actividad con deficiente ventilación) pueden utilizarse rutas alternativas como la de la glicólisis para producir energía por vía anaerobia (ácido láctico y dos moléculas de ATP).
- Aerobios: cuando el oxígeno molecular es el último aceptor formando agua. Este proceso libera una gran cantidad de energía (38 moléculas de ATP por molécula de glucosa) y se realiza en sus etapas finales en el interior de la mitocondria en presencia de oxígeno en un proceso que comprende varias etapas: Glicólisis (citosol), ciclo de Krebs (matriz mitocondrial), cadena transportadora de electrones y fosforilación oxidativa (en la membrana mitocondrial interna y partículas fundamentales).
Los productos finales de este proceso son el dióxido de carbono y agua.
La mayor parte de los seres vivos son aerobios entre ellos los animales y las plantas.
- Anaerobios: Cuando es una molécula orgánica todavía reducida la que finalmente acepta los electrones del NADH. Se producen tan solo dos moléculas de ATP por molécula de glucosa además de moléculas todavía reducidas con alto nivel energético como el etanol (fermentación alcohólica) y el ácido láctico (fermentación láctica).
El proceso se lleva a cabo en condiciones anaerobias (sin oxígeno) y se realiza en el citosol. Ejemplos de organismos anaerobios: bacterias como el Sacharomyces, Lactobacillus, Streptococus, levaduras, etc.
Existen organismos anaerobios facultativos, capaces de producir ambos tipos de procesos catabólicos dependiendo de las condiciones ambientales. En presencia de oxígeno se completa la respiración aerobia dando lugar a CO2, H2O y 38 moléculas de ATP. Si las condiciones ambientales son de falta de oxígeno (músculo en actividad con deficiente ventilación) pueden utilizarse rutas alternativas como la de la glicólisis para producir energía por vía anaerobia (ácido láctico y dos moléculas de ATP).
14. Nombra las etapas de la oxidación total de la glucosa en condiciones aerobias. Indica los sustratos iniciales y los productos finales de cada una de ellas.
- Oxidación del ácido pirúvico a acetil-CoA: Por cada molécula de ácido pirúvico se utiliza una molécula de CoA y otra de NAD oxidado y se obtiene una molécula de acetil-CoA, otra de dióxido de carbono y un NADH +H+
- Ciclo de Krebs: Por cada molécula de acetil-CoA que se oxida totalmente a CO2, se obtienen una molécula de CoA, tres moléculas de NADH +H+, otra de FADH2 y una molécula de ATP.
- Cadena de transporte de electrones y fosforilación oxidativa: Por cada molécula de NAD reducido se obtienen tres moléculas de ATP (excepto los NAD reducidos del citosol que sólo forman dos moléculas de ATP) y por cada molécula de FAD reducido se obtienen dos moléculas de ATP.
Los electrones transportados por la cadena respiratoria son aceptados por seis moléculas de oxígeno formando seis moléculas de agua.
15. Indica en qué orgánulos de la célula eucariota se realizan los siguientes procesos metabólicos e indica el lugar donde se realiza.
a) Captación de la luz por el complejo antea: en las membranas tilacoidales de los cloroplastos.
b) Ciclo de Calvin: En el estroma del cloroplasto.
c) Glicólisis: Citosol.
b) Ciclo de Calvin: En el estroma del cloroplasto.
c) Glicólisis: Citosol.
d) Fosforilación oxidativa: En las partículas elementales de las crestas mitocondriales.
e) Transporte activo: Membrana plasmática. Bomba sodio-potasio.
f) Ciclo de Krebs: Matriz mitocondrial.
g) Síntesis de proteínas de secreción: Sistema de endomembranas formado por el retículo endoplasmático rugoso y el aparato de Golgi .
h) Síntesis del ARNr: Nucleolo.
16. ¿Qué ruta metabólica representa esta imagen y en qué lugar de la célula se realiza?. Indica cuáles son los productos que se obtienen de la ruta y que aparecen con las letras A, B, C y D en la ecuación global del proceso.
Se trata del ciclo de Krebs y tiene lugar en la matriz mitocondrial.
De esta ruta se obtienen: dos moléculas de dióxido de carbono, tres de NAD reducido, dos de Fad reducido, una de ATP y otra de coenzima A.
A: 2 CO2
B: 3 NADH
C: 1 ATP
D: 1 FADH2
El ciclo de Krebs (también llamado ciclo del ácido cítrico o ciclo de los ácidos tricarboxílicos) es una ruta metabólica, es decir, una sucesión de reacciones químicas, que forma parte de la respiración celular en todas las células aeróbicas.
En células eucariotas se realiza en la matriz de la mitocondria.
En las procariotas, el ciclo de Krebs se realiza en el citoplasma, concretamente en el citosol.
En células eucariotas se realiza en la matriz de la mitocondria.
En las procariotas, el ciclo de Krebs se realiza en el citoplasma, concretamente en el citosol.
En organismos aeróbicos, el ciclo de Krebs es parte de la vía catabólica que realiza la oxidación de glúcidos, ácidos grasos y aminoácidos hasta producir CO2, liberando energía en forma utilizable (poder reductor (NADH y FADH y GTP).
El metabolismo oxidativo de glúcidos, grasas y proteínas frecuentemente se divide en tres etapas, de las cuales, el ciclo de Krebs supone la segunda.
En la primera etapa, los carbonos de estas macromoléculas dan lugar a moléculas de acetil-CoA de dos carbonos, e incluye las vías catabólicas de aminoácidos (p. ej. desaminación oxidativa), la beta oxidación de ácidos grasos y la glucólisis.
La tercera etapa es la fosforilación oxidativa, en la cual el poder reductor (NADH y FADH2) generado se emplea para la síntesis de ATP según la teoría del acoplamiento quimiosmótico.
En la primera etapa, los carbonos de estas macromoléculas dan lugar a moléculas de acetil-CoA de dos carbonos, e incluye las vías catabólicas de aminoácidos (p. ej. desaminación oxidativa), la beta oxidación de ácidos grasos y la glucólisis.
La tercera etapa es la fosforilación oxidativa, en la cual el poder reductor (NADH y FADH2) generado se emplea para la síntesis de ATP según la teoría del acoplamiento quimiosmótico.
El ciclo de Krebs también proporciona precursores para muchas biomoléculas, como ciertos aminoácidos. Por ello se considera una vía anfibólica, es decir, catabólica y anabólica al mismo tiempo.
El Ciclo de Krebs fue descubierto por el alemán Hans Adolf Krebs, quien obtuvo el Premio Nobel.
18. ¿De dónde procede el acetil-CoA con el que se inicia el ciclo de Krebs?
El Acetil-CoA es un metabolito intermedio que se forma cuando el acido pirúvico de 3 átomos de C (producto final de la Glucólisis) entra al espacio intermembranoso de las mitocondrias, es decir, la cámara externa comprendida entre las dos membranas biológicas. Gracias a la acción de un primer Complejo Multienzimático, la pirúvico descarboxilasa "Descarboxila"(quita una molécula de CO2 del Ácido Pirúvico) reduciendo al ácido pirúvico en grupos o radicales acetilos de 2 átomos de C. Posteriormente se une a estos radicales acetilos la CoA formando Acetil-CoA.
La reducción del ácido pirúvico en Radicales Acetilos que posteriormente se combinan con la CoA formando Acetil-CoA se realiza en la "Cámara externa de las mitocondrias o espacio intermembranoso"
Al ingresar en la matríz mitocondrial (Ciclo de Krebs) la Acetil-CoA se combina con el Ácido Oxalacético de 4 átomos de C formando Ácido Cítrico de 6 átomos de C.
La reducción del ácido pirúvico en Acetil-CoA es el "Eslabón común que une Glucólisis con el Ciclo de Krebs".
El acetil-CoA es el metabolito de conexión de todas las rutas catabólicas: oxidación de glúcidos, lípidos y proteínas:

19. En el siguiente esquema se representan algunas vías metabólicas de la glucosa:
¿Qué procesos están representados?
1. Glucogenogénesis.
2. Glucogenolisis.
3. Fermentación láctica.
4. Respiración aerobia (ciclo de Krebs y cadena respiratoria).
5. Respiración aerobia (glucólisis, ciclo de Krebs y cadena respiratoria).
2. Glucogenolisis.
3. Fermentación láctica.
4. Respiración aerobia (ciclo de Krebs y cadena respiratoria).
5. Respiración aerobia (glucólisis, ciclo de Krebs y cadena respiratoria).
Anabólicos: 1.
Catabólicos: 2, 3, 4 y 5.
Catabólicos: 2, 3, 4 y 5.
¿Cuáles son las diferencias principales entre la ruta 4 y 5?
La ruta 4 ocurre en condiciones aerobias. El pirúvico entra en el ciclo de Krebs y continúa su oxidación hasta CO2. El último aceptor de los electrones es, en este caso, el oxígeno, y se obtiene el máximo rendimiento energético debido a la oxidación total de la molécula de glucosa: 38 ATP.
Cuando no hay aporte de oxígeno se da la ruta 3. El ácido pirúvico es reducido y no se libera toda la energía contenida en la molécula de glucosa, ya que el último aceptor de los electrones es un compuesto orgánico. El rendimiento energético neto es de 2 ATP.
La primera fase del proceso, la glicólisis, es común a ambas y se produce en el citoplasma en condiciones anaerobias.
Define qué son procesos catabólicos y anabólicos. Pon algún ejemplo de cada proceso.
En los seres vivos hay dos tipos principales de procesos metabólicos, como dos caminos diferentes; en uno se construye y en el otro se destruye, se degrada. Estos procesos se llaman anabolismo y catabolismo, y están relacionados entre sí.
Los procesos anabólicos son procesos metabólicos de construcción, en los que se obtienen moléculas grandes a partir de otras más pequeñas. En estos procesos se consume energía. Los seres vivos utilizan estas reacciones para formar, por ejemplo, proteínas a partir de aminoácidos. Mediante los procesos anabólicos se crean las moléculas necesarias para formar nuevas células.
Los procesos catabólicos son procesos metabólicos de degradación, en los que las moléculas grandes, que proceden de los alimentos o de las propias reservas del organismo, se transforman en otras más pequeñas. En los procesos catabólicos se produce energía. Una parte de esta energía no es utilizada directamente por las células, sino que se almacena formando unas moléculas especiales. Estas moléculas contienen mucha energía y se utilizan cuando el organismo las necesita.
En el catabolismo se produce, por ejemplo, la energía que las células musculares utilizan para contraerse, la que se emplea para mantener la temperatura del cuerpo, o la que se consume en los procesos anabólicos.
En el catabolismo se produce, por ejemplo, la energía que las células musculares utilizan para contraerse, la que se emplea para mantener la temperatura del cuerpo, o la que se consume en los procesos anabólicos.
20. Di qué proceso es el representado en la figura y descríbelo brevemente.
El proceso representado es la fosforilación oxidativa, parte de la respiración celular que tiene lugar en las crestas mitocondriales.
Se trata de un proceso quimiosmótico, el cual, después de que los electrones se hayan transportado a la cadena transportadora de electrones, éstos saltan a niveles energéticos inferiores, liberándose así energía. Esta energía se utiliza para fabricar ATP a partir de ADP y fosfato inorgánico, en el proceso que hemos dicho anteriormente, fosforilación oxidativa.
Los componentes de la cadena transportadora de electrones forman tres complejos enzimáticos que son auténticas bombas de protones. Cuando los electrones pasan de un nivel energético a otro inferior, los complejos enzimáticos utilizan la energía liberada para bombear los protones desde la matriz mitocondrial al espacio intermembranal.
Como la membrana mitocondrial interna es impermeable a los protones, el bombardeo de estos consigue que se establezca un gradiente electroquímico entre la matriz y el espacio intermembranal. Éste es capaz de producir una fuerza protomotriz que proporciona energía aprovechable para hacer funcionar a cualquier proceso que esté acoplado a un canal por el cual puedan circular los protones a favor del gradiente hacia la matriz.
Las partículas F forman estos canales, a través de los cuales pueden fluir los protones. Cada partícula F es un complejo enzimático ATP sintetasa con una porción F0, anclada en la membrana de la cresta, y otra F1, que sobresale hacia la matriz.
Cuando el flujo de protones pasa a través de esta compleja estructura hacia la matriz, de produce una rotación en la partícula F y cataliza la síntesis del ATP en el lado de la matriz mitocondrial, a partir de ADP y Pi (hipótesis quimiosmótica)
21. ¿Qué orgánulo aparece en la fotografía?. Realiza un dibujo basado en él e indica sus componentes estructurales y moleculares.
Se trata de una mitocondria, la cual está formada por dos membranas:
La membrana externa, una bicapa lipídica que contiene un 40% de lípidos, donde el colesterol es más abundante que en la membrana interna, y un 60% de proteínas, entre las cuales encontramos las porinas, que permiten la permeabilidad de la membrana externa.
La membrana mitoncondrial interna está formada por las crestas mitocondriales, en las cuales encontramos una serie de proteinas hidrófobas, como el ATP sintetasa, proteínas de la cadena respiratoria, enzimas de la B-oxidación de los ácidos grasos, enzimas de la fosforilación oxidativa y tranferasas.
Después encontramos las partículas F elementales, en la cara externa de las crestas. Son complejos de ATP sintetasa y tienen una cabeza esférica o complejo F que es una proteína globular que podemos encontrar también en la membrana de los tilacoides de los cloroplastos y en la membrana plasmática de las bacterias.
En cuanto a la matriz mitocondrial, tiene una concentración elevada de proteínas hidrosolubles, ya que el 50% es agua, y contiene:
- Moléculas de ADN mitocondrial.
- Moléculas de ARN mitocondrial.
- Enzimas necesarios para la replicación, transcripción y traducción del ADN mitocondrial.
- Enzimas implicados en el ciclo de Krebs y en la B-oxidación de los ácidos grasos.
- Iones de calcio, fosfato y ribonucleoproteínas.
Por último, el espacio intermembranal, entre las membranas interna y externa, contiene enzimas que utilizan el ATP para fosforilar AMp u otros nucleótidos.
22. Supongamos que en una célula existe una mitocondria defectuosa ¿qué proceso utiliza la célula para eliminarla?. Describe el proceso y los orgánulos implicados.
Utiliza la autofagia, que es un proceso catabólico altamente conservado en eucariotas, en el cual el citoplasma, incluyendo el exceso de orgánulos o aquellos deteriorados o aberrantes, son secuestrados en vesículas de doble membrana y liberados dentro del lisosoma/vacuola para su descomposición y eventual reciclado de las macromoléculas resultantes.
Durante la autofagia se forman, como se ha dicho, vesículas de doble membrana llamadas autofagosomas que capturan material citoplasmático y lo transportan hasta los compartimentos (vacuola en el caso de levaduras o lisosomas en el caso de células de mamífero), donde son degradados por enzimas hidrolíticos. Una vez que los autofagosomas se han fusionado con los lisosomas, las vesículas resultantes (ya de membrana simple) pasan a denominarse autolisosomas.
En mamíferos, la autofagia es un evento constitutivo que regula el crecimiento celular, desarrollo y homeostasis. Mientras que en levaduras, la autofagia es inducida bajo condiciones de estrés celular, tales como falta de nutrientes, incremento de temperatura o estrés oxidativo. Los estudios más recientes apuntan que la autofagia, además de constituir un proceso reparativo, está implicado en fenómenos de muerte celular.
23. Identifica los orgánulos de la fotografía. Haz un esquema de estos orgánulos e indica la estructura de cada uno de ellos.
Mitocondria Cloroplasto
24. Cita las funciones asociadas a cada uno de estos orgánulos y localízalas en sus estructuras.
¿Estos orgánulos tienen ADN y ribosomas?. ¿Qué significado tiene este hecho?
Los orgánulos representados son las mitocondrias y los cloroplastos. Ambos tienen ADN propio y ribosomas puesto que proceden de las relaciones de simbiosis con la célula primitiva depredadora eucariota (teoria de Lyn Margulis).
Estos orgánulos eran bacterias (células procariotas) que fueron ingeridas pero no digeridas por estas células primitivas eucariotas. Así, ambas especies establecieron una relación de beneficio mútuo y por eso tanto mitocondrias como cloroplastos tienen doble membrana, genoma propio que les permite sintetizar sus propias proteínas (ribosomas).
En cuanto a la mitocondria, observamos:
Las funciones de los diferentes complejos de la mitocondria, son:
1. El Ciclo de Krebs tiene lugar en la matriz mitocondrial, perteneciente al catabolismo celular.
2. De la cadena respiratoria, en el ciclo de Krebs se desprenden una serie de electrones. Los transportadores de electrones se localizan en la membrana interna y se organizan en tres complejos NADH deshidrogenasa, complejo enzimático citocromo B i C1, y el complejo citocromo oxidasa.
3. La fosforilación oxidativa, tiene lugar en las partículas elementales F situadas sobre las crestas mitocondriales. La cabeza esférica o complejo F1 de esta partícula formada por ATP sintetasa, permite fosforilar el ADP y transformarlo en ATP.
4. La B-oxidación de los ácidos grasos, los enzimas de la cual se encuentran en la matriz mitocondrial.
5. Concentración de sustancias en la cámara interna, como proteínas, lípidos, colorantes, calcio, fosfatos y partículas virales.
En cuanto al cloroplasto, observamos:
Vemos que está formado por una membrana externa e interna, los tilacoides (donde se realizan todos los procesos de fotosíntesis que requieren luz, la formación de ATP i de NADPH) y la matriz interna amorfa, donde encontramos los platoribosomas y los enzimas encargados de la fijación del carbono, como es el caso de la Rubisco.
Las principales funciones de los cloroplastos por tanto son:
1. La fotosíntesis, para la fijación del CO2 y la formación de glúcidos.
2. La biosíntesis de los ácidos grasos.
3. La reducción de nitratos a nitritos.
25. Compara la fosforilación oxidativa con la fosforilación fotosintética.

La fosforilación oxidativa parte de la respiración celular que tiene lugar en las crestas mitocondriales. Se trata de una proceso quimiosmótico, el cual, después de que los electrones se hayan transportado por la cadena transportadora de electrones, éstos saltan a niveles energéticos inferiores, liberándose así energía. Esta energía se utiliza para fabricar ATP a partir de ADP y fosfato inorgánico.
Los componentes de la cadena transportadora de electrones forman tres complejos enzimáticos que son auténticas bombas de protones: el complejo NADH, complejo citocromob-c y el complejo citocromos a1-a3 . Cuando los electrones pasan de un nivel energético a otro inferior, los complejos enzimáticos utilizan la energía liberada para bombear los protones desde la matriz mitocondrial al espacio intermembranal.
Como la membrana mitocondrial interna es impermeable a los protones, el bombardeo de éstos consigue que se establezca un gradiente electroquímico entre la matriz y el espacio intermembranal. Éste es capaz de producir una fuerza protomotriz que proporciona energía aprovechable para hacer funcionar a cualquier proceso que esté acoplado a un canal por el cual puedan circular los protones a favor del gradiente hacia la matriz.
Las partículas F forman estos canales, a través de los cuales pueden fluir los protones. Cada partícula F es un complejo enzimático ATP sintetasa con una porción F0, anclada en la membrana de la cresta, y otra F1, que sobresale hacia la matriz.
Cuando el flujo de protones pasa a través de esta compleja estructura hacia la matriz, de produce una rotación en la partícula F y cataliza la síntesis del ATP en el lado de la matriz mitocondrial, a partir de ADP y Pi.
En cuanto a la fotofosforilación, hay de dos tipos, cíclica y acíclica, y el mecanismo de la síntesis de ATP es prácticamente idéntico al que se produce en la mitocondria: depende de la existencia, en la cara estromática de la membrana tilacoidal, de un complejo enzimático- el ATP sintetasa- parecido a las partículas F0F1 de las crestas mitocondriales.
El bombardeo de protones al interior del tilacoide, que lo hacen diversos complejos proteicos que intervienen en la fase lumínica, genera un gradiente electroquímico que crea la fuerza protomotriz necesaria para la síntesis de cada ATP en el estroma, catalizada por la porción F1, que está asociada al flujo de cuatro protones a través de la partícula. Como la energía procede, en último término de la luz, este proceso recibe el nombre de fotofosforilación, en el cual se obtiene oxígeno molecular, NADPH + H y ATP.
26. Dibuja un esquema de la mitocondria, localiza e identifica sus componentes estructurales. Indica las funciones asociadas a cada componente.
Explicados anteriormente.
27. Explica el papel del ciclo de Krebs en la respiración aeróbica (4 puntos).
Se explicará que en el ciclo de Krebs se oxida el acetil-CoA produciéndose GTP/ATP y los cofactores NADH y FADH2 que
pasan a la cadena de transporte electrónico donde se sintetizará ATP.
OTROS ENLACES CON PREGUNTAS RELACIONADAS:
Preguntas selectividad Valencia. Orgánulos con membrana
Preguntas importantes selectividad. Sistemas y orgánulos de membranas






No hay comentarios:
Publicar un comentario